Medicine
Newly discovered gut bacteria may be a culprit behind rheumatoid arthritis
This bacteria is found only in the intestines of people with rheumatoid arthritis, and not in the intestines of healthy people.
How to fight Covid with light
Some wavelengths of light in a range called far-UVC kill microbes in experiments and appear to be harmless to people.
The (robotic) doctor will see you now
Study finds patients are receptive to interacting with robots designed to evaluate symptoms in a contact-free way.
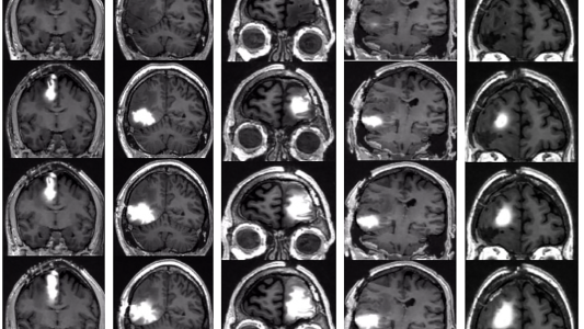
New brain cancer vaccine completes clinical trial
Northwest Biotherapeutics reports that its new brain cancer vaccine can extend glioblastoma patients’ lives by months or even years.
New chemo pump for brain tumors could avoid side effects
A fully implantable chemo pump could help extend the lives of people with deadly brain tumors while minimizing treatment side effects.
UK study suggests single dose of monkeypox vaccine is 78% effective
A new analysis by the UK Health Security Agency has determined that one shot of a monkeypox vaccine is 78% effective at preventing infection.
$3.5 million treatment for hemophilia wins FDA approval
The FDA has approved biotech company CSL Behring's Hemgenix, a hemophilia B treatment that costs $3.5 million per dose.
New CRISPR cancer treatment tested in humans for first time
A new personalized CRISPR cancer treatment modifies the immune system's T cells to help them recognize a specific patient's tumor cells.
Good and bad memories are stored in different neurons, study finds
Positive and negative memories are stored in different parts of the brain, raising the possibility of therapeutic memory manipulation.
Injectable gel repairs severe spinal cord injuries and enables mice to walk
An injectable gel that prevents scar formation and stimulates regeneration successfully repaired severe spinal cord injuries in mice.